Ссылка на оригинал: Округлые помутнения и «дерево в бутоне» – самые опасные симптомы заболеваний легких у детей при рентгене и на КТ (ci-practice.ru)
Пневмония
Пневмония — самая частая причина смерти детей младше 5 лет. Клинически проявляется кашлем, лихорадкой и одышкой. Новорожденным иногда сложно провести дифдиагностику с РДС, транзиторным тахипноэ и синдромом аспирации меконием.
Крупозная пневмония — патогномоничный тип, который встречается только у детей в возрасте от 5 до 12 лет.
Крупозная пневмония проявляется в виде округлого помутнения на рентгенограмме, обычно в области плевры, ворот или легочной щели. Ее чаще всего вызывают бактерии — в 90% случаев Streptococcus pneumoniae. УЗИ дополняет КТ, особенно когда образуются небольшие плевральные выпоты объемом до 10 мл и фиброзные септы. Она помогает отличить их от консолидированного легкого и периферические абсцессы от эмпиемы. Типичные результаты рентгенографии и КТ при лобарной и интерстициальной пневмонии, бронхопневмонии и их паттерны на рисунках 1-3.
Аспирация инородных предметов
Аспирация инородных предметов — неотложная ситуация, при которой необходимо быстро провести вмешательство. Обычно она возникает у детей от 1 до 3 лет и проявляется внезапным кашлем, удушьем, хрипом, одышкой, а в тяжелых случаях — нарушением дыхания и цианозом.
Если аспирацию не диагностировали вовремя, она может привести к рецидивирующей пневмонии.
Рентгенография — метод первого выбора для визуализации. Типичные находки: односторонняя гиперинфляция с бронхоклапанным механизмом; ателектаз из-за полной обструкции дыхательных путей в пораженном сегменте или доле легкого. Если в пораженном сегменте или доле развилась постобструктивная пневмония, может появиться консолидация. Необходимо исключить обструктивную эмфизему и смещение средостения.
Иллюстрацию корреляции рентгенографии и компьютерной томографии, рецидив врожденной диафрагмальной грыжи (ВДГ) смотрите в презентации.
Однако стандартная инспираторная рентгенография иногда выглядит нормальной, несмотря на поражение. Поэтому для лучшей визуализации гиперинфляции следует провести экспираторное рентгеновское исследование. В некоторых случаях поможет боковая декубитальная проекция, которая покажет коллапс легкого на стороне гиперкапнии. В качестве альтернативы можно использовать УЗИ или рентгеноскопию.
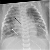
Респираторный дистресс-синдром
РДС — самая частая причина смерти недоношенных, родившихся до 36 недель гестации.
Основа диагностики респираторного дистресс-синдрома — анамнез и характерные рентгенографические признаки, которые позволяют отличить его от других распространенных неонатальных легочных заболеваний. Они варьируют от гипоинфляции, диффузных гранулярных помутнений до «белых легких» с воздушной бронхограммой и двусторонним признаком силуэта. Классификация, которую используют рентгенологи при описании снимков, то есть градация от 1 до 4 (рисунок 15), отличается от подхода неонатологов. Они предпочитают выделять тяжесть РДС как легкую, умеренную или тяжелую — основываясь на визуализации контуров сердца на рентгенограмме.

Рисунок 1. Градация респираторного дистресс-синдрома на рентгенограммах грудной клетки. (A) РДС I степени: матовое стекло с хорошо расправленными легкими и ограниченными воздушными бронхограммами; (B) РДС II степени: более выраженное помутнение легких, которые относительно хорошо расправлены, количество воздушных бронхограмм увеличено; контуры сердца и диафрагмы все еще хорошо очерчены; (С) РДС III степени: грубозернистое помутнение легких и менее отчетливый силуэт сердца и диафрагмы, распространенные воздушные бронхограммы и плохо расправленные легкие; (D) РДС IV степени: полный коллапс легких с полным помутнением, нечетким силуэтом сердца и легких, распространенные воздушные бронхограммы
Типичные осложнения РДС — пневмоторакс и интерстициальная эмфизема легких, которую вызывает утечка воздуха, связанная с баротравмой при механической вентиляции. При визуализации на рентгенограмме она выглядит как округлые или трубчатые перигилярные просветы — интерстициальные воздушные пузырьки. После введения экзогенного сурфактанта наблюдают улучшение — увеличение вентиляции легких и уменьшение помутнений, несмотря на то, что гипоинфляция и гранулярные помутнения могут сохраняться.
Бронхолегочная дисплазия
Бронхолегочная дисплазия (БЛД) — самое распространенное осложнение преждевременных родов: у недоношенных, родившихся до 23 недель. Хотя роль визуализации в диагностике ограничена, она помогает на основе патофизиологических данных прогнозировать эпизоды десатурации и количество госпитализаций. В настоящее время поперечную визуализацию проводят только при тяжелых респираторных симптомах. КТ и МРТ помогают определить фенотип пациентов и обнаружить неоднородные визуализационные паттерны, однако РГ остается основным методом диагностики (рисунок 16).
Риск развития БЛД превышает 80%.

Рисунок 2. Рентгенограмма ребенка с бронхолегочной дисплазией. Ранние признаки: небольшое прикорневое помутнение и мелкая зернистость; поздние признаки: грубые сетчатые помутнения (белая стрелка), кистозные просветления (черная стрелка), ателектаз и гиперинфляция легких








