Ссылка на оригинал: Когда выполнение КТ — плохая идея? | Занимательная диагностика | Pro.Diagnosi | Дзен (dzen.ru)
Бывает много ситуаций, когда выполнение КТ — это пустая трата времени / денег, и сразу нужно делать МРТ. Нередко даже у врачей возникают вопросы, что лучше назначить пациенту (особенно если на МРТ попасть сложнее / только за деньги, а КТ есть в доступе).
Ниже приведу наиболее частые ситуации когда лучше сразу делать МРТ:
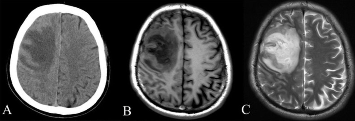
1. Неврология (головной мозг, спинной мозг, опухоли, спинальные корешки, грыжи м/п дисков) — царство МРТ.
Любые очаговые изменения в паренхиме мозга, кроме острого кровоизлияния (опухоли, демиелинизация, энцефалит). На КТ их часто просто не видно. В заключении КТ может стоять «норма» и будет упущено драгоценное время.
Патология гипофиза, мостомозжечковых углов, ствола мозга, черепно-мозговых нервов. КТ здесь просто «слепа».
Патология спинного мозга (миелит, опухоли, компрессия корешков). КТ также будет скорее всего бесполезна. Обследование позвоночника на КТ обосновано когда мы ищем перелом / нам надо оценить костные структуры.
2. Мягкие ткани (опухоли, повреждения и пр.).
Любые мягкотканные опухоли чаще всего требуют МРТ для оценки структуры, границ, взаимоотношений с нервами и сосудами.
На КТ чаще всего можно только обнаружить наличие опухоли (и то не всегда!), тогда как на МРТ видна детальная структура опухоли, даже если МРТ выполнена без контраста.
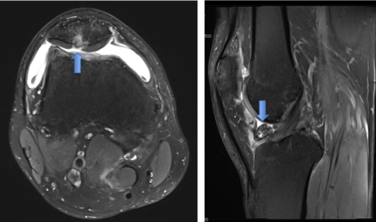
3. Суставы, связки, мениски, хрящи — оцениваются по МРТ!
КТ малоинформативна во всех ситуациях, кроме переломов.
4. Гинекологическая патология — золотой стандарт МРТ!
Оценка наличия и детализированное описание структуры опухолей, оценка стадии заболевания (до начала лечения или оценка динамики в процессе лечения).
Эндометриоз / аденомиоз и другая патология — всё это прерогатива МРТ.
КТ во всех этих ситуациях, как правило, бесполезна, лучше уж сделать УЗИ, это будет информативнее.
5. Предстательная железа, мочевой пузырь – только МРТ!
6. Прямая кишка (опухоли, свищи, воспаление) – только МРТ!
7. Кистозные образования любой локализации.
Да, кисты кистам рознь! На МРТ можно точно определить характер содержимого кисты (серозное, геморрагическое, муцинозное), наличие тончайших перегородок в кисте и прочие детали, что порой очень критично для дифференциальной диагностики.
На КТ же отличить одну кисту от другой часто бывает невозможно.
8. Печень, желчные протоки, желчный пузырь, поджелудочная железа (для тонкой дифференцировки).
Очаговые образования печени при сомнительных данных УЗИ/КТ. МРТ с контрастом (а иногда со специальным контрастом — гепатоспецифичным) — лучший метод.
Желчные протоки (холангит, холангиокарцинома, стриктуры). МРХПГ (разновидность МРТ) — метод выбора.
Желчный пузырь (оценка наличия камней низкой плотности, воспалительных изменений, полипов и пр.) — МРТ тут метод выбора.
При некоторых образованиях поджелудочной железы, особенно кистозных (IPMN, кистозные неоплазии, псевдокисты и пр.) МРТ может дать критически важную информацию.
Ключевая мысль:
КТ определяет плотность (кость, кровь, воздух).
На МРТ детально оценивается структура (в т.ч. клеточность, включения воды, жира), во многом схожа с гистологическим анализом.
Поэтому, если, например, на УЗИ выявлено мягкотканное образование — чаще правильнее выполнять МРТ.
Тратить время на КТ в вышеперечисленных случаях — значит терять ценную диагностическую информацию и подвергать пациента лишней радиации. Помним, что МРТ ещё и безвредна, что не скажешь о КТ.
Иногда есть смысл сделать и то и другое (например, при раке поджелудочной КТ и МРТ друг друга отлично дополняют), но это уже узкопрофессиональные нюансы.
Важно: Если ситуация экстренная (травма, острый живот, ОНМК и т.д.) – метод выбора — КТ.
Если обследуем лёгкие — КТ так же основной и наиболее точный метод.
Врач МРТ КТ рентгенолог Алексей Кокунин








